Treatments
Cosmetic Surgery
Injectables
Laser & Skin
Body Contouring
Weight loss
Permanent Makeup
Facials
About
About Us
Locations
Dr. Rice
Dr. Vincze
Before & Afters
Blog
GIFT CARDS
Contact
BOOK ONLINE
FILTER SEARCH
BEFORE & AFTERS
Search
Filter
Reset all
Showing
0
results of
0
Before and Afters
Gender
Clear
Female
Male
Age
Clear
value
value
Quantity
Clear
(if injectable)
value
Cosmetic Surgery
Clear
C02 Laser Resurfacing
Brow Lift
Chin Implant
Ear Pinning
Eyelid Lift
Neck Lift
Face Lift
Facial Fat Transfer
Rhinoplasty
Male Chest Reduction
Injectables
Clear
Lip Flip
Lower face Filler
Wrinkle Relaxers
Biostimulators
Midface Filler
Lip Filler
BOTOX
Facials
Clear
EC Facials
Hydrafacial
Body Contouring
Clear
Lymphatic Drainage Massage
CoolSculpting
Search
Filtering by:
Text Template
BEFORE
AFTER
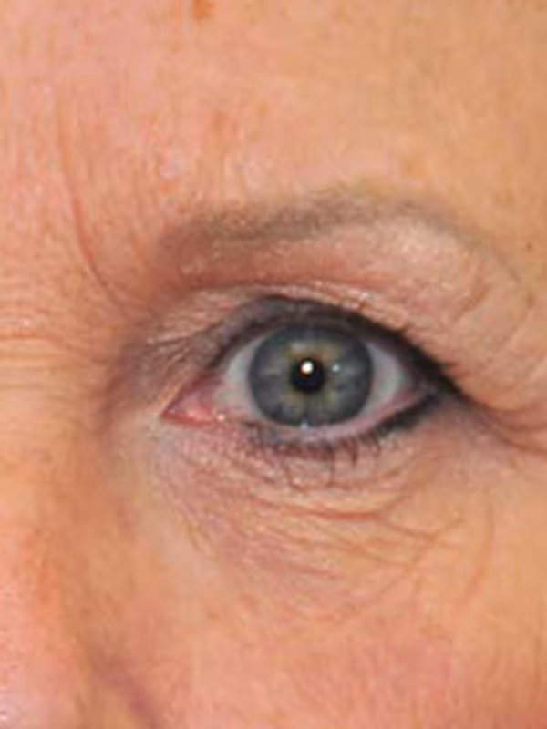
Eyelid Lift
BEFORE
AFTER
Lower face Filler
Midface Filler
Upper face Filler
BEFORE
AFTER
BOTOX
Wrinkle Relaxers
Female
BEFORE
AFTER
Lower face Filler
Female
BEFORE
AFTER
Face Lift
Eyelid Lift
58
Female
BEFORE
AFTER
Lip Filler
BEFORE
AFTER
Eyelid Lift
BEFORE
AFTER
BOTOX
BEFORE
AFTER
Lip Filler
Lower face Filler
Midface Filler
Previous
1
Next
Thank you! Your submission has been received!
Oops! Something went wrong while submitting the form.
GET STARTED
Fill out the form below and we will be in touch with you as soon as possible.
Name
Email
MOBILE PHONE
Thank you! Your submission has been received!
Oops! Something went wrong while submitting the form.
3 steps
to a more
confident
you
ONE
Schedule a
Consult
You’ll meet with one of our experts, and we’ll answer all of your questions.
TWO
GET
TREATED
Together, we’ll create a fully customized treatment plan to help you reach your goals.
THREE
LIVE
CONFIDENTLY
Feel good about how you look and enjoy your newfound confidence.
TAKE THE FIRST STEP today
SCHEDULE NOW
(FREE EBOOK)
5 THINGS YOU SHOULDN’T COMPROMISE WHEN CHOOSING A COSMETIC SURGEON AND MEDICAL SPA
Thank you! Your submission has been received!
Oops! Something went wrong while submitting the form.
Thank you! Your submission has been received!
Oops! Something went wrong while submitting the form.